Porcelain Crowns
Applied Procedures: Porcelain Crowns
P2417_ss1099bs_t P2417_ss1099ys_t
Before Photo After Photo
Applied Procedures: Porcelain Crowns
P2417_ss1100bs_t P2417_ss1100ys_t
Before Photo After Photo
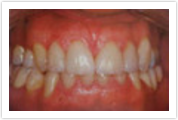
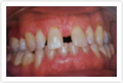
Applied Procedures: Porcelain Crowns, Dental Bridges
P2417_ss1101bs_t P2417_ss1101ys_t
Before Photo After Photo
Appointment request
Need an appointment with a dentist in West Point ? Requesting an appointment at our West Point, GA family and cosmetic dental office is now easier than ever. Fill out the form below and we'll contact you to find a time that fits your schedule. Start your journey towards a beautiful smile with us today!
Patient Name*
Phone Number*
Email Address
Are you a current patient?
Best time(s) to call?
Preferred Appt Date
Preferred Appt Time
Message
Describe the nature of your appointment or any other comments